Diş Hekimliğinde Erken Teşhis ve Radyolojik Görüntülemenin Önemi

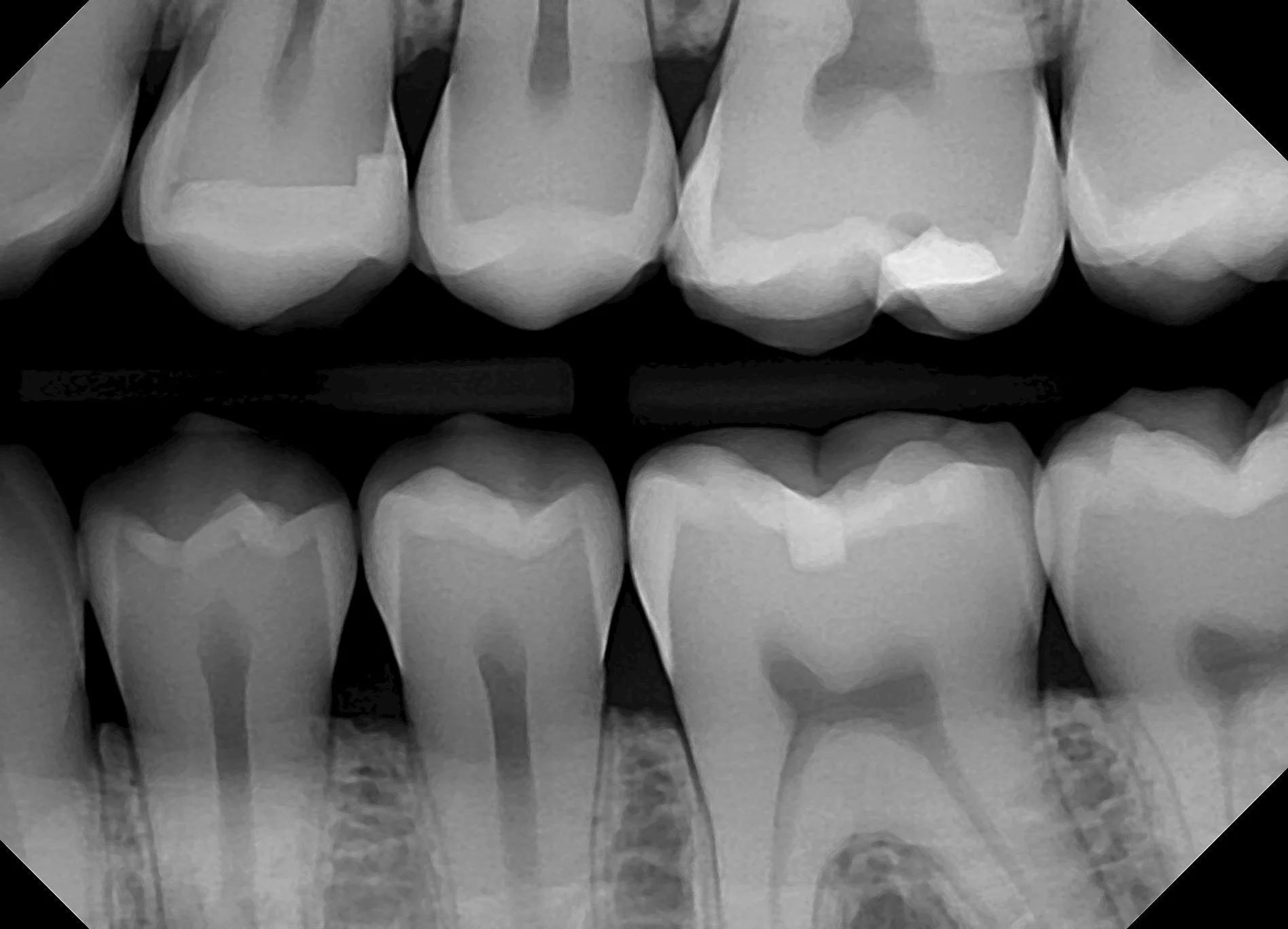
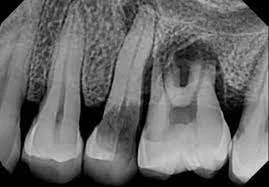
Diş hastalıkları çoğu zaman ilk aşamalarda belirti vermez. Çürükler, diş eti hastalıkları veya çene kemiğinde oluşabilecek sorunlar, ağrı yapmadan ilerleyebilir.

Bu yüzden erken teşhis, hem dişlerinizi kaybetmemek hem de daha kolay ve kısa sürede tedavi olabilmek için çok önemlidir.

Erken teşhiste en büyük yardımcılarımızdan biri de röntgen görüntüleridir. Röntgen sayesinde gözle görülemeyen çürükler, gizli iltihaplar, kemik kayıpları ve kist gibi sorunlar fark edilebilir. Böylece sorun büyümeden, küçük ve basit işlemlerle çözüme ulaşmak mümkün olur.

Düzenli diş kontrollerine gitmek ve gerekli durumlarda röntgen çektirmek, hem ağız sağlığınızı hem de genel sağlığınızı korumanın en güvenilir yoludur.

Next
Next

Periodontoloji (Diş Eti Hastalıkları)